vollanatomische Keramikkronen | Zirkon-Doppelkrone | Keramik-Abutment | Zirkonoxid (Wissenschaft)
- Monolithische, vollanatomisch CAD/CAM-gefräste Zirkonkronen und -brücken aus durchgefärbten Rohlingen mit Schichten für Kaufläche, Körper und Zahnhals.
- Monolithische, vollanatomisch CAD/CAM-gefräste Zirkonkronen und -brücken aus Rohlingen für manuelles Einfärben vor dem Sintern und nachträgliches Bemalen.
- Monolithische, vollanatomische CAD/CAM-gefräste Glaskeramikkronen und Tabletops aus Blöcken mit Farbverlauf.
- Monolithische, vollanatomische Glaskeramikkronen und Tabletops aus gepressten Keramiken mit Farbverlauf.
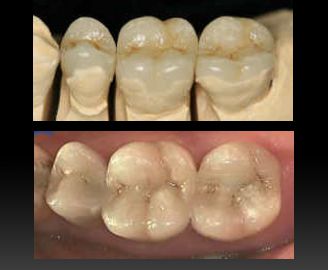
Bewegen Sie sich mit den Pfeilen durch die Bildergalerie.
Zur Herstellung monolithischer, vollanatomischer Kronen und Brücken stehen transluzente oder auch chromatisch unterschiedlich aufgebaute Sinter-Zirkon-Materialien zur Verfügung, die einerseits vor dem Sintervorgang eingefärbt wie andererseits nach der Endbearbeitung bemalt und glasiert werden können. Eine Verblendung ist nicht mehr notwendig.
Wir bevorzugen für monolithische Kronen und Brücken durchgefärbte, in Schichten mit Farbverlauf aufgebaute Rohlinge, die je eine Zone für Schneide bzw. Kaufläche, Körper und Zahnhals besitzen. Die Krone / Brücke wird entsprechend im Rohling platziert. Innerhalb der jeweiligen Schicht bleiben Farbe und Transluzenz wegen der Durchfärbung auch bei Beschleifen erhalten. Zusätzliches nachträgliches Bemalen ist möglich.
Dieses Verfahren macht natürlich eine größere Lagerhaltung unsererseits erforderlich.
Monolithische Kronen und Brücken sind z.B. indiziert
-
- zur Kostenersparnis gegenüber Kronen mit geschichteter Verblendung.
- für Bruxer und Knirscher, wenn eine vollkeramische Versorgung unter Vermeidung von Frakturen der Verblendkeramik gewünscht wird.
- für Molarenkronen, wenn aus anatomischen Gründen oder wegen eingetretener Vorschädigung (Bruxismus) nur ein geringer Abtrag durch Präparation möglich ist,
- zur Bisshebung mittels Tabletops und vollkeramischer Teilkronen.
- zum Aufbau der Eckzahnführung mittels Tabletops auf Palatinalflächen.
Entscheidend für die Gestaltung der vollanatomischen Kronen und Brücken im CAD/CAM-Verfahren ist das hohe Niveau unserer Konstruktionssoftware und das Know How unserer Mitarbeiter.
