Vollkeramik


vollanatomische Keramikkronen | Zirkon-Doppelkrone | Keramik-Abutment | Zirkonoxid (Wissenschaft)


Vielfalt und Ästhetik. Wir besitzen den Überblick, die Kompetenz und die Möglichkeiten.

Modernste Scanner-Technologie, Konstruktions-Software der jüngsten Generation, eine universelle 5Achs-Fräsanlage für Nass- und Trockenfräsung, alle notwendigen Öfen sowie die Schulung der Mitarbeiter auf höchstem Niveau und natürlich deren hervorragend feines ästhetisches Empfinden sind die Grundlagen unseres Erfolges.

Auch die langjährigen Mitgliedschaften in der Arbeitsgemeinschaft für Keramik in der Zahnheilkunde e.V. und der Deutschen Gesellschaft für Ästhetische Zahnmedizin e.V. dokumentieren das große Engagement und den hohen Anspruch des Teams.

150204_sortiment_t
Zenostar® Vollkeramik-Rohlinge, Hersteller: Wieland Dental + Technik GmbH & Co. KG
Das Vollkeramik-Leistungsspektrum von Dr. Steinseifer Dental
  • Inlays, Onlays, Veneers, Teilkronen (gepresst)
  • Veneers und Front-Teilkronen gepresst und im Schneidebereich individuell geschichtet
  • verblendete CAD-CAM-Zirkondioxid-Kronen und -brücken, geteilt und ungeteilt
  • Teleskopkronen primär aus Zirkondioxid
  • monolithische, vollanatomische Kronen, Brücken und Tabletops
Beispiele für intelligente Lösungen der Spezialisten von Dr. Steinseifer Dental finden Sie in der folgenden Bildergalerie:

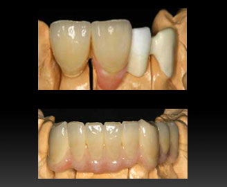
Mehrspannige Brücke 
auf einem Gerüst (unten) aus gehiptem Zirkondioxid

Werdegang einer Zirkonkrone
von links nach rechts: Gerüst, verblendet, eingegliedert

Ästhetik-Anprobe mit Wax-up
Mit unserer CAD-CAM-Fräsanlage können wir Kunststoff-Gerüste fräsen, die aufgewachst am Patienten einprobiert werden können.

Empress Esthetic Teilkrone und e.mex Press Vollkronen

12: Empress Esthetic Teilkrone
11, 21 und 22: e.mex Press Vollkronen

oben die gepressten Gerüste, unten verblendet

Empress 1
Inlays und Teilkrone 37

12 - 22 Empress 1
Teilkronen in Veneer-Stärke

12 -25 e.max Press-Kronen

Empress Inlays
vor und nach Eingliederung

Empress-Teilkronen
vor und nach Eingliederung

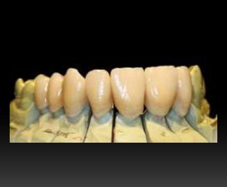
geteilte Zirkonoxidbrücke
(Unterseite)

Weitspannige Zirkonoxid-Brücke
(44,45 - 48 mit Ringteleskop auf 48)

Mundaufahme der weitspannigen Zirkonoxid-Brücke

Zirkonoxid-Keramik-Überwurfkrone

Zirkonoxid-Marylandbrücke

individuelles Zirkon-Abutment auf Klebebasis

            Zirkon-Abutments auf Klebebasis
gedrucktes Modell, gedruckte Gingivamaske
       Zirkon-Brücke auf Zirkon-Abutments
gedrucktes Modell, gedruckte Gingivamaske

Zweiflügelige Zirkon-Marylandbrücke

Keramik in Gingivafarbe

Zirkonoxid-Teleskopkronen
oben Zirkonoxid-Teleskopkronen primär, 
unten mit Galvano-Sekundärkronen

Metallfreie Teleskop-Prothese (1/2)
oben Primärteleskope und unten Sekundärteleskope mit Prothesengerüst (in einem Stück gefräst) bestehen aus HIP-Zirkon

Metallfreie Teleskop-Prothese (2/2)
Die Prothese ist als Cover-Denture ausgeführt.

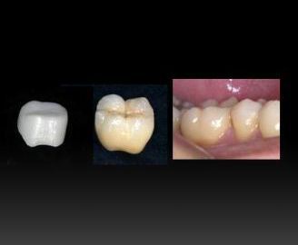
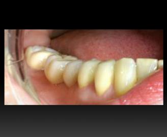
Zirkon-Seitenzahnkronen verblendet
Zirkon-Seitenzahnkronen verblendet zur Versorgung natürlicher Zähne
verschraubte Zirkonkronen mit Klebebasis auf Implantaten
monolithische Zirkonkronen okklusal verschraubt auf Implantaten
CAD-Programmierung für verblendete Vollkeramikkrone auf Klebebasis für Implantatversorgung (1/4) (anatomische Form)
CAD-Programmierung für verblendete Vollkeramikkrone auf Klebebasis für Implantatversorgung (2/4) (reduzierte Form für Verblendung)
verblendete Vollkeramikkrone auf Klebebasis für Implantatversorgung (3/4) reduziertes Zirkongerüst für Verblendung, Modell aus dem 3D-Drucker
Verblendung des Zirkongerüstes (4/4)
links: frisch geschichtete Keramikmasse
rechts: fertig gebrannte Verblendung

Gehen Sie auf das Foto und bewegen Sie sich mit den dann erscheinenden Pfeilen durch die Fotogalerie.